
Same-Day Dental Implants
A Modern Marvel in Dentistry
Introduction
Your smile is one of your most defining features. It expresses joy, laughter, and confidence. At Creative Art Dental Clinic, we understand the impact of having a missing tooth, both emotionally and functionally. Traditional dental implant procedures, although effective, require patience and multiple visits over several months. But what if you could walk into our clinic with a missing tooth and leave with a brand-new, natural-looking tooth? Enter the world of same-day dental implants.
Understanding Same-Day Dental Implants:
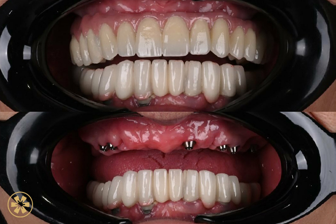
Same-day implants, as the name suggests, are dental implants placed immediately after a tooth extraction. Traditionally, there’s a waiting period between tooth extraction and implant placement, followed by another waiting period for the implant to fuse with the bone before placing the final crown. With same-day implants, these steps are condensed, enabling you to get your implant and temporary restoration all in one appointment.
Why Choose Same-Day Dental Implants?
Time-Efficient
Instant Aesthetics
Less Bone Loss
Convenience
Superior Results
How Does it Work?
The process begins with a thorough evaluation to determine your candidacy for same-day implants. Once cleared:
- The affected tooth is extracted.
- A titanium implant, acting as an artificial tooth root, is immediately placed into the jawbone.
- A temporary crown is placed on top of this implant.
Over the subsequent weeks, the implant will integrate with the bone. After this period, you will return for the placement of your permanent, custom-made crown.
Is it Right for Everyone?
While same-day implants offer numerous benefits, they may not be the best choice for everyone. Factors such as bone density, oral health, and the location of the missing tooth play a role in determining suitability. It’s essential to have a detailed consultation with our experts to determine the best course of action for your specific situation.
Am I a candidate for same-day dental implants?
How are same-day implants different from traditional implants?
Traditional dental implants typically involve a waiting period of several months between implant placement and crown attachment, allowing the implant to fuse with the bone (osseointegration). In contrast, same-day implants streamline the process, offering immediate restoration.
Are same-day implants as durable as traditional implants?
What is the post-operative care for same-day implants?
While the implants are designed for immediate use, patients should stick to a soft diet initially and avoid putting undue pressure on the new implants. Regular oral hygiene practices, like brushing and flossing, should continue, but with care around the implant site. Regular follow-ups with the dentist are crucial to monitor the implant’s integration.
Are same-day dental implants more expensive?
Can I get multiple implants in one day?
Is the procedure painful?



