
Dental Bridges
Every smile has its story, and every gap in one’s teeth is a chapter yearning for a fitting conclusion. Dental bridges act as the essential bridge to fill these gaps and provide continuity to your narrative, ensuring it remains as captivating as ever.
What are Dental Bridges?
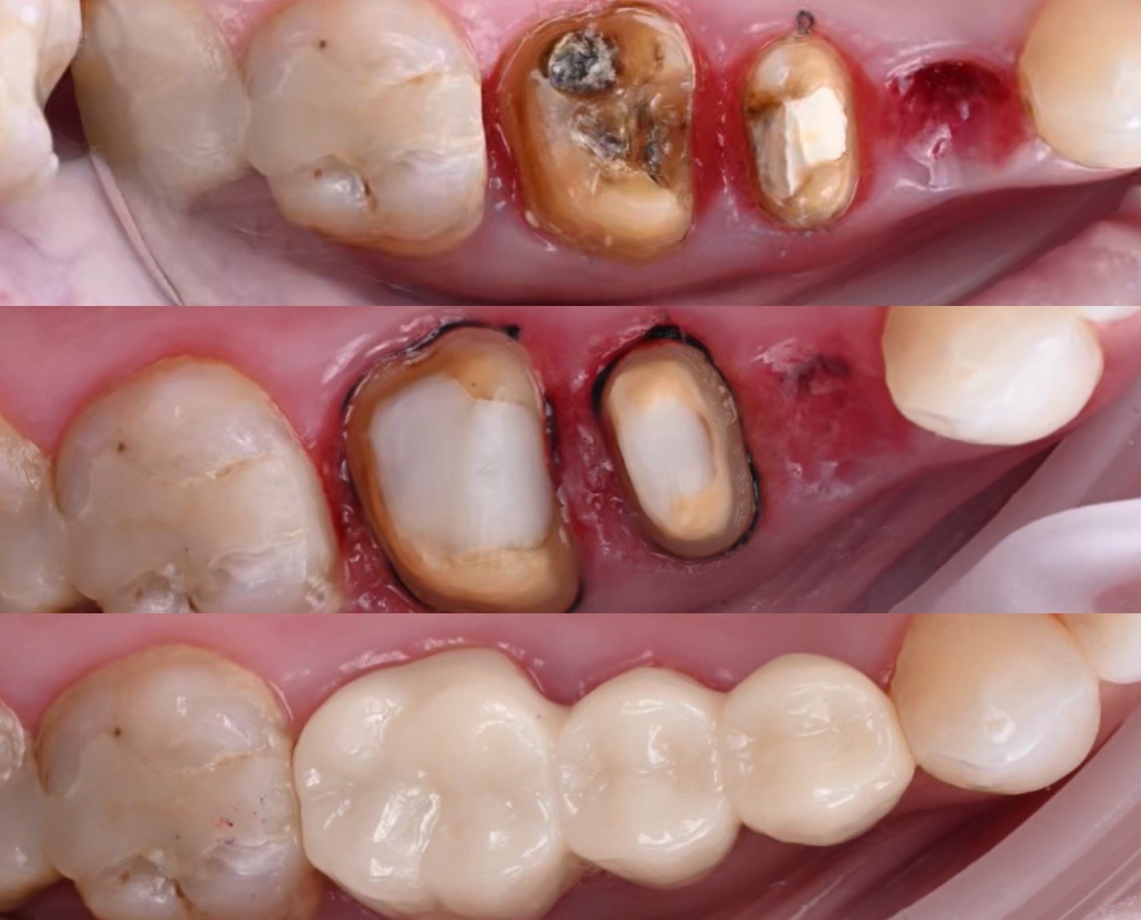
Imagine having a picturesque bridge reconnecting a broken pathway, enhancing both its aesthetics and function. Dental bridges perform a similar role for your teeth. Consisting of two or more crowns on either side of a gap (the abutment teeth) and a false tooth or teeth (pontics) in between, dental bridges seamlessly reconnect your smile. They can be fashioned from a range of materials, including gold, alloys, and porcelain, all while being anchored and supported by your natural teeth or implants.
Is a Dental Bridge Suitable for You?
While modern dentistry has advanced with numerous tooth replacement options, dental bridges still stand their ground in many cases. Especially when the neighbouring teeth are already crowned or have significant fillings, dental bridges might be the recommended choice. With the evolution of techniques, tissue removal has been minimized, making dental bridges a more conservative approach than before. Furthermore, in instances where dental implants may pose challenges, bridges act as a viable alternative.
The Dental Bridge Journey
Consultation
Tooth Preparation
Digital Impressions
Temporary Bridge
Creation
Final Placement
Post-treatment, you’re not alone. We guide you with all necessary aftercare tips and oral hygiene practices to ensure the longevity and health of your bridge.
The Aesthetics of a Dental Bridge
Our promise is simple – perfection. The all-ceramic bridges we provide are sculpted to perfection, ensuring they harmonize with your natural teeth, both in appearance and function. When you smile, the world won’t spot the bridge, only the beauty it adds to your smile.



