General & Restorative Dentistry

Bruxism (Teeth Grinding) Treatment
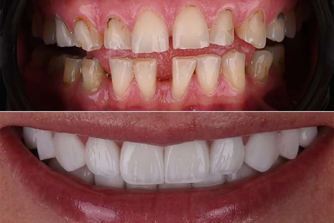
Tired of waking up with jaw pain or worn-down teeth? Bruxism (teeth grinding) can silently damage your smile over time. Our customized veneer treatment not only restores aesthetics but also protects your teeth from further wear. Book your consultation today and wake up smiling.
What is Bruxism?
The Consequences of Bruxism
If you’ve ever woken up with a sore jaw or a headache, you might be experiencing bruxism. Continuous teeth grinding can result in:
- Wear and tear of the teeth, leading to sensitivity and decay
- Chips or fractures in your teeth
- Facial pain and chronic headaches
- Temporomandibular joint (TMJ) disorders, causing jaw pain and difficulty moving the jaw
- Disruptions in sleep quality for you or a partner
How We Can Help
At Creative Arts Dental Laboratory, we understand that bruxism is more than an annoying habit — it’s a real health concern. That’s why we offer a range of treatment options tailored to your specific needs. Our treatments aim to:
- Reduce pain and discomfort
- Prevent further tooth damage
- Help you enjoy a better night’s sleep
- Improve the alignment of your bite, if misalignment is contributing to your bruxism
Treatment Options
Depending on the severity of your condition and the underlying causes, treatment for bruxism may include:
Custom-made Night Guards
Dental Correction
Stress Reduction Techniques
Medication
Taking the Next Step
Don’t let bruxism grind away at your quality of life. If you suspect that you or a loved one is suffering from bruxism, we invite you to Creative Arts Dental Laboratory for a comprehensive evaluation. Our team is committed to helping you achieve a healthier, more comfortable, and peaceful life, one smile at a time.



